最新
新聞
時事新聞
健康新聞
實用新聞
財經新聞
科技新聞
娛樂
音樂綜藝
影視新聞
娛樂新聞
八卦話題
趣味貼圖
奇趣見聞
故事
勵志感人
愛情故事
婚姻家庭
笑話大全
驚悚可怕
長短小說
心情日記
生活
生活百科
育兒親子
旅遊景點
美食天地
養生保健
流行時尚
寵物資訊
體育競賽
星座生肖
命理占卜
興趣
電玩資訊
動漫資訊
攝影技術
汽車機車
投資理財
軍事討論
詩歌文學
彩券博弈
科技
行動3C
硬體資訊
軟體資訊
精彩評測
開箱分享
科技產品
熱門
本日熱門
本週熱門
本月熱門
年度熱門
全部熱門
頻道
熱門頻道
最新頻道
會員
登入
註冊
📣
最新
📰
新聞
⚽
娛樂
🗿
故事
☀
生活
🎮
興趣
📱
科技
🔥
熱門
📇
頻道
會員
登入
註冊
會員登入
使用 Facebook 帳號
或是
登入
忘記密碼
*系統將會發送重設密碼信件至您的信箱。
*若您於1小時內沒收到信,請檢查垃圾信件夾。
快速註冊
使用 Facebook 帳號
或是
公開暱稱
信箱
密碼
密碼確認
註冊前請詳閱
使用條款
及
隱私條款
同意並註冊
FUN01 創作分享
頻道
BABY
BABY
文章:16892
關注:13
關注
所有分類
時事新聞
娛樂新聞
趣味貼圖
愛情故事
驚悚可怕
生活百科
旅遊景點
星座生肖
奇趣見聞
最新文章
熱門文章
BABY
你知道為什麼飛機的窗戶一定是圓的嗎?
BABY
人過四十後常做5件小事,血管一生都不堵不硬!!!
BABY
美容養顏,桃膠的4種吃法
BABY
補血補鐵的食物幫助改善貧血體弱!
BABY
每天花20分鐘做這項高燃脂運動,原來還能幫助我們對抗老化
BABY
10招「媽媽們都不知道」正確食物保存久久方法,我媽學會後再也沒有丟過任何的食物!!
BABY
從104kg到50kg的減重奇蹟!韓國瘦身女王教你1天100下「百搭動作」,自然瘦身不復胖
BABY
秋天最養生的水果冠軍就是它,再不吃可就過季了哦!另外,偷偷告訴你正確清洗它的小秘訣...
BABY
「剩飯」+「____」,5分鐘變身超好吃的鬆脆飯包!三分鐘全家吃光光,媽媽看了好開心!
BABY
糖尿病別慌,去廚房抓一把紅豆,百歲老中醫教你巧治高血糖,快存!
BABY
原文書上的神祕數字代表什麼意思?
BABY
〝超級瘧疾〞肆虐東南亞抗藥性強恐釀全球威脅
BABY
禦寒還防髒飯店床位這塊布原來這樣用!
BABY
100個最實用的做飯小技巧,全部學會了你就是神廚!
BABY
出現這4種症狀,肺可能生病了,還不抓緊養肺!
BABY
舊的螢光筆「重復兩次同樣動作」就會變身成為彩虹螢光筆,完全不必靠工具就可以輕松完成!
BABY
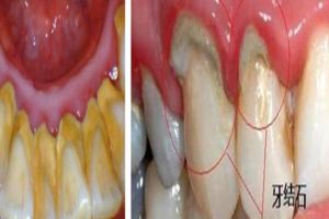
總是洗牙也不管用,牙結石還是那麼臭?教你三個小方輕松去除!
BABY
秋冬季一定要喝這碗湯,比燕窩還養人為了孩子和家人你也該學學
BABY
誰說想瘦就只能吃水煮青菜?部落客公開超豐盛瘦身餐,不按追蹤真的對不起自己啊!
BABY
什麼是Vevo
« 上頁
1
2
79
80
81
82
83
84
下頁 »
Facebook
×
已複製到剪貼簿