最新
新聞
時事新聞
健康新聞
實用新聞
財經新聞
科技新聞
娛樂
音樂綜藝
影視新聞
娛樂新聞
八卦話題
趣味貼圖
奇趣見聞
故事
勵志感人
愛情故事
婚姻家庭
笑話大全
驚悚可怕
長短小說
心情日記
生活
生活百科
育兒親子
旅遊景點
美食天地
養生保健
流行時尚
寵物資訊
體育競賽
星座生肖
命理占卜
興趣
電玩資訊
動漫資訊
攝影技術
汽車機車
投資理財
軍事討論
詩歌文學
彩券博弈
科技
行動3C
硬體資訊
軟體資訊
精彩評測
開箱分享
科技產品
熱門
本日熱門
本週熱門
本月熱門
年度熱門
全部熱門
頻道
熱門頻道
最新頻道
會員
登入
註冊
📣
最新
📰
新聞
⚽
娛樂
🗿
故事
☀
生活
🎮
興趣
📱
科技
🔥
熱門
📇
頻道
會員
登入
註冊
會員登入
使用 Facebook 帳號
或是
登入
忘記密碼
*系統將會發送重設密碼信件至您的信箱。
*若您於1小時內沒收到信,請檢查垃圾信件夾。
快速註冊
使用 Facebook 帳號
或是
公開暱稱
信箱
密碼
密碼確認
註冊前請詳閱
使用條款
及
隱私條款
同意並註冊
FUN01 創作分享
頻道
建華
建華
文章:16870
關注:12
關注
所有分類
時事新聞
娛樂新聞
趣味貼圖
愛情故事
驚悚可怕
生活百科
旅遊景點
星座生肖
奇趣見聞
最新文章
熱門文章
建華
家用7分鐘快速流汗HIIT有氧訓練
建華
創意桌面收納,告別桌面凌亂的局面,讓家居生活充滿溫馨和創意
建華
原來廚房檯面要選這種材料才最耐砍,後悔我家裝太早了!
建華
減肥神半年甩肉20kg!必讀這5個懶人瘦身小習慣
建華
男女通用的減脂動作
建華
1把椅子,10個動作30天瘦出細長腿
建華
「再方便都不要使用!」他踢爆飯店「固定式吹風機」恐怖真相!看完我再也不敢碰了!
建華
這幾個動作,專治你沒轍的粗腿|直播圖文分享
建華
廚房水槽用單盆好還是雙盆好?看完你就不糾結了!
建華
裝修開燈孔是找木工還是電工?我家搞錯多花好幾百塊!
建華
20種花草的風水意義,讓你財源廣進!讓你家一年都好運連連
建華
一天不大便,毒素就會積累在大腸裏!教你一個簡單的「食療方」!
建華
廚房油煙重清潔太辛苦!用點不起眼的它,輕鬆祛油污!
建華
在新加坡生小孩的花紅津貼以及獎勵配套
建華
8種你從來都不知道的「香菸的奇妙功能」,完全沒想到竟有著如此多的妙用啊!
建華
坐太久小腿腫一倍!隔天起床讓腿變細的5分鐘秘訣
建華
陽台別再裝推拉門了,現在都流行這樣設計,我家裝好鄰居擠爆來學!
建華
農曆七月鬼門開又要到了!來看看膽小的蕊蕊小時候的迷信趣事!@徐蕊蕊職場OL血尿心酸史
建華
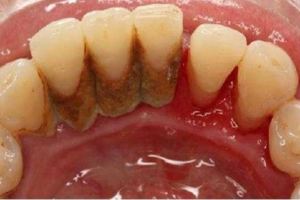
牙結石長得多,還在吃飯時掉出來?只因你每天都在「無效」刷牙!
建華
性感馬甲線,女神的標配!真的練出馬甲線了!
« 上頁
1
2
88
89
90
91
92
93
下頁 »
Facebook
×
已複製到剪貼簿