最新
新聞
時事新聞
健康新聞
實用新聞
財經新聞
科技新聞
娛樂
音樂綜藝
影視新聞
娛樂新聞
八卦話題
趣味貼圖
奇趣見聞
故事
勵志感人
愛情故事
婚姻家庭
笑話大全
驚悚可怕
長短小說
心情日記
生活
生活百科
育兒親子
旅遊景點
美食天地
養生保健
流行時尚
寵物資訊
體育競賽
星座生肖
命理占卜
興趣
電玩資訊
動漫資訊
攝影技術
汽車機車
投資理財
軍事討論
詩歌文學
彩券博弈
科技
行動3C
硬體資訊
軟體資訊
精彩評測
開箱分享
科技產品
熱門
本日熱門
本週熱門
本月熱門
年度熱門
全部熱門
頻道
熱門頻道
最新頻道
會員
登入
註冊
📣
最新
📰
新聞
⚽
娛樂
🗿
故事
☀
生活
🎮
興趣
📱
科技
🔥
熱門
📇
頻道
會員
登入
註冊
會員登入
使用 Facebook 帳號
或是
登入
忘記密碼
*系統將會發送重設密碼信件至您的信箱。
*若您於1小時內沒收到信,請檢查垃圾信件夾。
快速註冊
使用 Facebook 帳號
或是
公開暱稱
信箱
密碼
密碼確認
註冊前請詳閱
使用條款
及
隱私條款
同意並註冊
FUN01 創作分享
頻道
愛上世界分享愛
愛上世界分享愛
文章:21943
關注:18
關注
所有分類
時事新聞
健康新聞
實用新聞
財經新聞
科技新聞
音樂綜藝
影視新聞
娛樂新聞
八卦話題
趣味貼圖
勵志感人
愛情故事
笑話大全
驚悚可怕
長短小說
心情日記
生活百科
旅遊景點
美食天地
養生保健
流行時尚
寵物資訊
體育競賽
星座生肖
測驗占卜
婚姻家庭
育兒親子
汽車機車
行動3C
奇趣見聞
最新文章
熱門文章
愛上世界分享愛
12個「身體發出強烈警告你必須馬上喝水」的癥狀
愛上世界分享愛
牛奶加一物,三高、痛風、癌症都不見了!姐夫82歲了還活力無窮!轉發出去功德無量!
愛上世界分享愛
這兩種菜同時吃多會毒死人,我也是剛剛才知道!
愛上世界分享愛
他每天吃醋泡海帶,一個月身體出現驚喜變化!
愛上世界分享愛
治療糖尿病的中成藥
愛上世界分享愛
越減肥越肥胖,禍根是體內毒素堆積嚴重,2個中醫秘方輕松排出
愛上世界分享愛
養腎就是養命!這些行為最傷腎,尤其是第1種,夏天要少做!速看
愛上世界分享愛
中醫師教大家如何吃三七(田七),看完這文章肯定去買回家用了。真的太好了。
愛上世界分享愛
26歲頭痛劇烈以為是壓力大,結果卻是腦癌晚期!
愛上世界分享愛
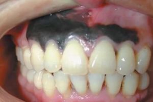
牙齒上出現這種症狀,你就要小心腫瘤了!黑色素瘤發展到晚期,就會隨著血流向肺部、肝髒、骨骼、腦部等器官轉移
愛上世界分享愛
超靈驗的失眠偏方,10分鐘入睡,不用買,在家自己做
愛上世界分享愛
何裕民:它是植物中的抗癌大師!搭配三種食物,讓其貢獻全部精華
愛上世界分享愛
明明不胖,但腹部贅肉不少,怎麼辦?這9個高效減肚子瘦身動作,堅持4天就會有效果,不要太瘦哦~
愛上世界分享愛
吃飯咳出長得像「小米粒」的結石,26歲口臭男人被人疏遠
愛上世界分享愛
夏天木耳跟它一起吃,勝過冬蟲夏草,護血管降三高,醫生都這樣吃!
愛上世界分享愛
中老年人養生數字指南,記住它,一生少生病!送給群友收藏傳閱~
愛上世界分享愛
聽說老是啪啪會得關節炎?!
愛上世界分享愛
一個「釋迦」能防12種癌,這種水果怎麼吃?
愛上世界分享愛
大完便先別沖!7種大便形狀「仔細觀賞」能救你一命!
愛上世界分享愛
一杯牛奶加上它痛風癌症不見了!
« 上頁
1
2
88
89
90
91
92
93
下頁 »
Facebook
×
已複製到剪貼簿