2023年4月20日是第七個全民關注痛風日
藉此契機
廣州中醫藥大學第三附屬醫院
主任中醫師梁祖建、主治醫師吳玲普
來和大家聊聊
骨質被「啃食」,警惕這個石頭
據吳玲普介紹,疫情開放以來,全國各地餐飲業復甦,出現了「報復性」吃喝遊玩的現象,同時醫生發現今年以來有一類疾病的發病更為頻繁,在骨科門診里時常接診到這類患者,那就是痛風。
吳玲普指出,痛風發展到中後期往往出現關節痛風結石,對患者生活工作帶來了極大不便。比如今日的故事主角就是飽受痛風石折磨的一位患者。
36歲的患者何先生(患者化名),何先生有7年痛風病史,反覆多關節發病,近3周來出現右足背部紅腫熱痛,本以為像往常一樣吃點消炎止痛藥,過幾天就不痛了,結果足背腫物逐步變大,一直未能消退,1周後出現潰破,有白色渾濁滲液排除,傷口一直不癒合。
為求進一步治療,來廣州中醫藥大學第三附屬醫院骨質疏鬆風濕科住院。住院期間患者右膝關節出現紅腫熱痛,於行左膝關節穿刺抽液治療,抽出約20ml淡黃色關節積液,內見大量棉絮狀痛風石。
圖①患者術前足部正面觀 圖②患者術前足部側面觀 圖③患者抽出的膝關節積液
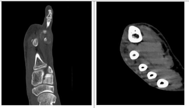
何先生的痛風石表面開起來不大,大約2cm×2cm×1cm,但是做了足部CT檢查後發現其內卻是「內藏玄機」。痛風石不僅存於足背皮膚表面,還存在第2、3跖骨頭之間,同時還發現第2跖骨頭已經出現了多處骨質囊狀破壞,骨質表面已經被痛風石所「啃食」,令人不寒而慄。

圖④患者足部CT檢查的橫截面觀(左圖)及矢狀面觀(右圖)
為什麼何先生會出現痛風石?小小痛風石為何有如此大的破壞力呢?痛石當道,我們如何迎風逆襲呢?讓我們先來了解痛風石。
認識痛風石
痛風石是指血液中尿酸(嘌呤的代謝產物)過多,以結晶的形式沉積在關節、軟組織等處,形成外觀大小不一的、隆起的黃白色包塊。它常發生於耳朵、腳趾、手指、腕、肘及膝關節等處。患處表麵皮膚很薄,破潰後排出白色粉末或糊狀物。若關節內大量沉積痛風石,可引起關節腫脹、壓痛、畸形及關節功能障礙。
「痛風」一詞最早出現在我國古代南北朝時期的醫學典籍里,因其疼痛來得快如一陣風,故由此命名,古時又稱為「痛痹」,明朝虞摶所著《醫學正傳》云:「夫古之所謂痛痹者,即今之痛風也。」諸方書又謂之「白虎歷節風」,以其走痛與四肢骨節,如虎咬之狀,而以其名名之耳。
西方醫學之父希波克拉底稱痛風為「不能步行的病」。「來去如風,疼痛難忍」來形容痛風急性發作期的症狀再恰當不過。
痛風石的危害
吳玲普指出,痛風石是痛風的特徵性改變。痛風石的形成與病程、血尿酸水平有關。病程越長,發生痛風石的概率就越大。高尿酸血症持續時間越長,越易發生痛風石。痛風石大小不一,小者如同米粒、針尖,大者如同雞蛋黃大小。有的痛風石多為圓形,中心有較硬的結節,四周為還未結成堅硬如石的尿酸鹽結晶。
痛風石逐漸增大後,其外表皮膚可能變薄潰破,形成瘺管,流出一些像石灰渣一樣的乾酪狀物質,而且傷口很難癒合。由於尿酸有抑制細菌的作用,繼發感染少見。發生在手足肌腱附近的結石,常州影響關節活動,有時需要手術治療。
痛風石的危害是徹底性的,它會在關節附近的骨髓中侵入骨質,進而影響骨髓功能,造成骨髓畸形,或使骨質遭受損毀,以致影響日常生活。如足趾上尿酸結晶的不斷沉積,則容易形成巨大的痛風石,造成不能穿鞋、行走困難等惡果。
三法帶你趕走痛風石
方法一:做手術取出痛風石
因為痛風是一種自身免疫系統的疾病,目前尚無根治辦法,所以對於痛風石,減輕痛苦的辦法就是做手術取出關節囊的石頭!通過手術使患者能穿衣服和戴手套,儘可能恢復功能和關節穩定,控制引流和感染,減輕疼痛,神經減壓,容貌修復,代謝減少身體尿酸總量。
梁祖建指出,以下這5種情況建議手術治療:
1.應切除較大且易切除的痛風石以減少體內尿酸的總量;
2.應切除正在增大的痛風石,以防止骨關節和軟組織進一步破壞;
3.應切開正在膨大的痛風石,以免皮膚壞死;
4.對於手足痛風石應切除以矯正畸形;
5.當痛風石壓迫神經時應手術減壓。
據梁祖建介紹,在痛風結節破潰、傷口經久不愈以及診斷痛風石依據不足,需病理活檢的時候,都應該適時有效的行手術治療。手術方法的選擇由痛風石的穩定性、關節受累程度決定。


方法二:內服外治巧治痛風石
1.中藥內服
急性期用藥著重於清熱利濕瀉濁,常用黃柏、知母、蒼朮、牛膝、澤瀉、地骨皮、土茯苓、虎杖、白朮、木瓜、萆薢、山慈姑、忍冬藤;慢性期用藥著重於健脾除濕、化痰祛瘀、補腎疏肝。臨床常用海螵蛸、石菖蒲、白朮、柴胡、當歸、白芍、茯苓、薏苡仁、車前子、澤瀉、鬱金、威靈仙。臨床隨證加減。
2.中藥外敷
醫生比較推薦,痛風性關節炎急性期局部常見紅腫熱痛,可以用雙柏散、四黃散等局部冷服。慢性期可外敷化痰除濕、活血通絡的關節巴布劑。
3.針灸
對於風寒濕痹者宜針灸並施,而風濕熱痹者宜針不宜灸,久痹正虛以灸為宜。急性期行瀉法,恢復期用於平補平瀉法。常用穴位:脾俞、血海、丘墟、太溪、三陰交、太沖、太白等。
4.推拿
醫生主張痛風恢復期運用推拿療法,可以採取推、拿、按、捻、搓、搖等手法,由輕到重進行。如點按合谷、大椎、風池、腎俞,揉拿手、足三陰經。
方法三:管住嘴、邁開腿
1.健康飲食
應減少高嘌呤食物的攝入:如動物內臟、骨髓、海鮮、肉湯等。大豆、肉類、豌豆、菠菜等也含有嘌呤,同樣也要少吃。
不飲含糖飲料:因為含糖飲料富含果糖,有增加血尿酸的作用。
可選擇含嘌呤低的食物及鹼性食物:如米、面類製品、奶類、雞蛋、蔬菜、水果。

2.多飲水
多飲水有助於尿酸隨尿液排出,尤其是在夏季多汗和服用排尿酸藥物時。
3.戒菸、戒酒
飲酒可引起痛風發作,應避免;吸菸是痛風的危險因素外,還會增加心腦血管事件發生率,也應避免。
4.適當運動
運動量一般以中等量運動,少量出汗為宜。運動種類可選擇散步、打桌球等。避免劇烈運動,如踢足球、快跑、滑冰、游泳、登山等。因為劇烈運動可使體內乳酸產生過多,使血尿酸增高。
5.規律作息
避免情緒緊張、勞累、受寒、感染等刺激因素,以免引起病情加重。
回到文章開頭的那位患者何先生,最後還是經過手術治療,切除右足背部的痛風石,傷口也癒合良好,足背部皮膚也恢復原來的平整,能夠穿上鞋子正常生活了。
兩位醫生指出,每年的4月20日是「世界痛風日」,又稱「全民關注痛風日」,設立的初衷和目標是每一個人通過科學健康管理,遠離高尿酸和痛風對身體的侵害。讓我們一起行動起來,痛風當道,迎風逆襲。
科室介紹
骨五科(骨質疏鬆科、風濕骨科)
廣州中醫藥大學第三附屬醫院骨五科由骨質疏鬆科和風濕骨科組建而成。
骨質疏鬆科是在1998年廣東省中醫藥局確定的廣東省中醫骨質疏鬆病醫療中心建設單位基礎上發展起來的,是國家中醫藥管理局重點專科優勢病種「骨質疏鬆症」全國協作組組長單位,全國首個中國健康促進基金會骨質疏鬆防治合作基地、廣東省首批中醫名科、廣東省中醫藥學會骨質疏鬆專業委員會主任委員單位、廣東省中醫優勢病種突破項目(骨質疏鬆症)牽頭單位、粵港澳大灣區骨質疏鬆椎體骨折聯盟單位,設有骨質疏鬆研究所、名中醫傳承工作室等。根據「腎主骨、脾腎相關、血瘀論」三個理論和「辨證觀、整體觀、平衡觀」三個觀點,認為骨質疏鬆病位主要在腎、脾、經絡,提出了補腎壯骨、健脾益氣、活血通絡的治療原則,研究出治療骨質疏鬆症的系列藥物「十味骨康口服液」等純中藥製劑。
風濕骨科圍繞重點病種風濕痹病(痛風、類風濕性關節炎、風濕性關節炎、強直性脊柱炎、骨關節炎),系統梳理臨床診療中的關鍵問題,明確中醫藥治療優勢環節,完善療效評價體系。提出風濕骨病診斷不易,病機複雜,病程纏綿,病情頑固,治療困難,其痛責之於風寒濕邪乘虛而入,治宜祛風除濕、清熱解毒、和解表里。認為濁毒是風濕骨病的主病機,指出應重視以化濁解毒法治療風濕骨病。強調風濕骨病的治療應抓主證,辨兼證,析類證,臨證應力求認識骨濕骨病證治規律、積極探究個體化用藥特點、探索同病類證和同病類治,認為中醫+微創治療風濕骨病優勢獨特。
骨五科擁有醫教研三位一體且經驗豐富的骨代謝及風濕骨病臨床科研團隊。主持國家自然科學基金項目7項、省部級項目16項。榮獲廣東省科技進步獎二等獎2項、中華中醫藥學會科學技術獎二等1項、三等獎2項、中國中醫藥研究促進會科技進步獎二等獎1項、廣州中醫藥大學科學技術獎一等獎、二等獎各1項、中國老年學學會骨質疏鬆「創新團隊獎」等。
專家介紹

擅長:中西醫結合診治骨傷科疾病,尤其骨質疏鬆症、痛風性關節炎、老年骨病、骨關節病、頸肩腰腿痛、跌打損傷等骨科疾病等。
出診信息 :
總院:周一下午 名醫診區
骨傷科分院:周一上午、周三上午

擅長:採用中西醫結合方法治療各種骨折、脫位、筋傷、頸肩腰腿痛、關節炎、骨質疏鬆症,善於將傳統中醫療法與手術相結合治療各種疾病。現主攻方向:骨質疏鬆症、骨與關節損傷、骨關節退行性疾病等。
出診信息:
總院:周二上午(骨科門診5診室)
骨傷科分院:周五上午(特診二室)

廣東省傑出青年醫學人才、廣東省中醫臨床優秀人才。
擅長:中西醫結合治療複雜骨折、疑難頸肩腰腿痛、頑固髖膝關節病、重度骨質疏鬆,對肢體矯形及肌肉骨骼系統疼痛的治療有豐富的臨床經驗。主要研究領域為中西醫結合治療骨關節疾病及中藥作用機理研究。目前主要立足骨發育生物學與骨生物力學進行骨衰老的相關研究。
出診信息:
骨傷科分院:周一上午109室,周五上午特診一室。

擅長:中西醫結合治療骨質疏鬆症、骨關節炎、脊柱疾病及四肢骨折脫位。
出診時間:
骨傷科分院:周三下午109室,周五上午109室
供稿:吳玲普 | 初審:梁祖建
排版編輯(實習生):林於琳
文字編輯:葉美琪 | 校對編輯:李龍浩
審核:王劍 | 審定發布:范琳燕


















