熬夜傷身,但大家都以為老了才會看到後果,沒想到年輕人也可能發一次病就留下永久的殘疾。中國一名30歲男子小張 (化名) 很愛半夜不睡覺打遊戲,某天晚上突發高燒,送急診時病情惡化昏迷,雖然撿回一命,但嚴重的後遺症讓他退回3歲小孩的智力。

示意圖非當事人,翻攝自《央視網》,下同
包括小張在內,中國寧波大學附屬第一醫院表示,近一個月內竟收治8例「腦膜炎」病患,平均年齡26歲,最小的病患僅16歲。25歲的小李 (化名) 也是夜貓子,每天滑手機看影片到凌晨3、4點才捨得睡,半個月前開始微燒到38度,覺得頭腦脹脹的。本來以為只是休息不夠,拖了1星期才就醫,詳細檢查驚覺是腦膜炎,嚇得住院治療。

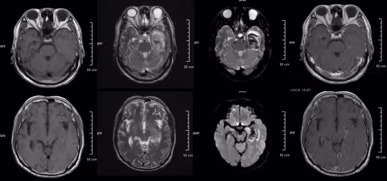
但小張就沒小李好運。常熬夜打遊戲到凌晨的小張,因某天沒去表姊的工廠上班、打電話沒接,表姊趕到小張家赫見他發高燒、說話含糊,立刻叫救護車送醫。不幸的是,小張到院時已昏迷,確診「病毒性腦膜炎伴隨腦炎」,送進加護病房搶救。雖經過多科會診,小張保住性命卻只剩3歲智商,無法正常說話,肢體運動能力大幅下降,生活完全不能自理。

示意圖翻攝自浙江大學醫學院附屬第二醫院
寧大一院感染科說明,熬夜易導致抵抗力下降、病原體入侵,若遇到疱疹病毒或腸道病毒引發顱內感染,輕症及時治療,通常5~7天好轉痊癒;但延誤治療引發腦炎,可能就像小張那樣出現嚴重後遺症,恢復時間至少3~6個月,甚至影響終身。建議平常保持規律作息、均衡飲食,避免長期熬夜,每晚睡飽7~8小時,另避免接觸鴿糞等可能的感染源。院方提醒,若出現不明原因發燒、頭痛、嘔吐等症狀,應及時就醫。顱內感染雖相對罕見,但病程急、病情重,儘早診斷治療很重要。

示意圖翻攝自unsplash

















